கொரோனா வைரஸ் தொற்றுநோய்க்கு மத்தியில், ஒரு மர்மமான மூளை நோய் கனடாவின் நியூ பிரன்சுவிக் பகுதி மக்களிடையே அச்சத்தையும் பெரும் குழப்பத்தையும் ஏற்படுத்தியுள்ளது. இந்த நோய் எங்கு உருவானது எப்படி பரவுகிறது என்பது பற்றி இன்னும் அறியப்படவில்லை.
கடந்த ஆறு ஆண்டுகளில், பலர் இந்த நோயால் பாதிக்கப்பட்டுள்ளனர். அதே நேரத்தில் சுமார் 6 பேர் இதற்கு பலியாகியுள்ளனர். இந்த நிலையில் வடகிழக்கு நியூ பிரன்சுவிக்கில் உள்ள அகேடியன் தீபகற்பத்தில் மக்கள் அதிகம் பாதிக்கப்பட்டுள்ள கிராமமான பெர்ட்ராண்டின் மேயரான யுவோன் கோடின் கூறியதாவது, "மக்கள் பதற்றமடைந்துள்ளனர்.‘ இது சுற்றுச்சூழலால் ஏற்படும் பாதிப்பா? இல்லை இது மரபணு தானா? அல்லது இது மீன் அல்லது மான் இறைச்சியால் வருகிறதா? இல்லை வேறு ஏதாவது? என பல கேள்விகளை மக்கள் எழுப்பி வருகிறார்கள். மர்மமான நோய்க்கு மருத்துவர்களாலும் மற்றும் மருத்துவ வல்லுநர்களாலும் இன்னும் நம்பத்தகுந்த பதிலைக் கண்டுபிடிக்கவில்லை" என்று கூறியுள்ளார்.
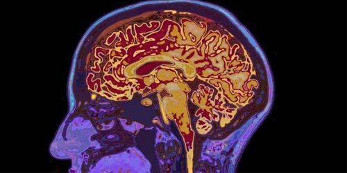
இந்த மர்ம நோயால் பாதிக்கப்படுபவர்கள் தூக்கமின்மை மற்றும் பலவீனமான நினைவக செயல்பாடுகள் மட்டுமல்லாமல், பார்வை மாயத்தோற்றங்களையும் அனுபவிப்பதாக கூறியுள்ளனர்.
இப்போதைக்கு, நோயின் தோற்றம் இன்னும் தீர்மானிக்கப்படவில்லை. இருப்பினும், செல்போன் கோபுரங்களிலிருந்து வரும் கதிர்வீச்சுதான் இந்த நோயைப் பரப்புகிறது என்று சுகாதார நிபுணர்கள் கூறி வருகின்றனர். இதுதவிர கோவிட் 19 தடுப்பூசிகள் ஒரு சாத்தியமான காரணமாக இருக்கலாம் என்றும் சிலர் கூறியுள்ளனர்.
அனைத்து நாடுகளின் ஒரே கவலையாக கொடிய SARs-COV-2 வைரஸ் இருப்பதன் காரணமாக, மர்ம நோய் ஆரம்பத்தில் சுகாதார அமைப்பின் கவனத்தையும் ஈர்க்கத் தவறிவிட்டது. ஆனால் இப்போது வரை 48 பேர் பாதிக்கப்பட்டனர். மேலும் அதில் 6 பேர் உயிரிழந்துள்ளனர்.
இது தொடர்பாக சுகாதாரத்துறை அமைச்சர் டோரதி ஷெப்பார்ட், ஒரு செய்தியாளர் சந்திப்பில் தெரிவித்துள்ளதாவது, "புதிய மற்றும் அறியப்படாத இந்த மர்ம நோயால் மக்கள் அச்சத்தில் உள்ளனர். நியூ பிரன்சுவிக்கர்கள் இந்த சாத்தியமான நரம்பியல் நோய்க்குறி குறித்து ஆராய்ந்து வருவதாக தெரிவித்துள்ளார்.













